コーヒーがぶ飲み女のホワイトニングレポート
第一話はこちらから

皆さんコーヒーは好きですか?
私は大好きです!!!
自他ともに認めるコーヒー大好き女なので水分は基本アイスコーヒー(ダメ絶対)
そんな私の宿命は歯が黄ばむこと。
そんな長年の悩みを解決すべくホワイトニングをしてみました!
私はオフィスホワイトニング(歯医者で施術)を選びました。
この先、大きめの歯の写真が出ます!
閲覧注意⚠️⚠️⚠️
↓
↓
↓
↓
↓
↓
↓
↓
↓
↓
↓
↓
↓
↓
↓
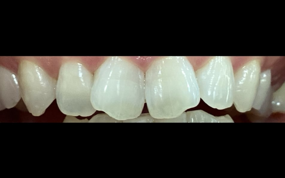
では早速、beforeから↓

全体的に黄ばみが目立ちますね。
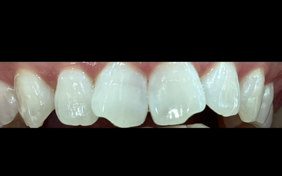
そしてafter↓

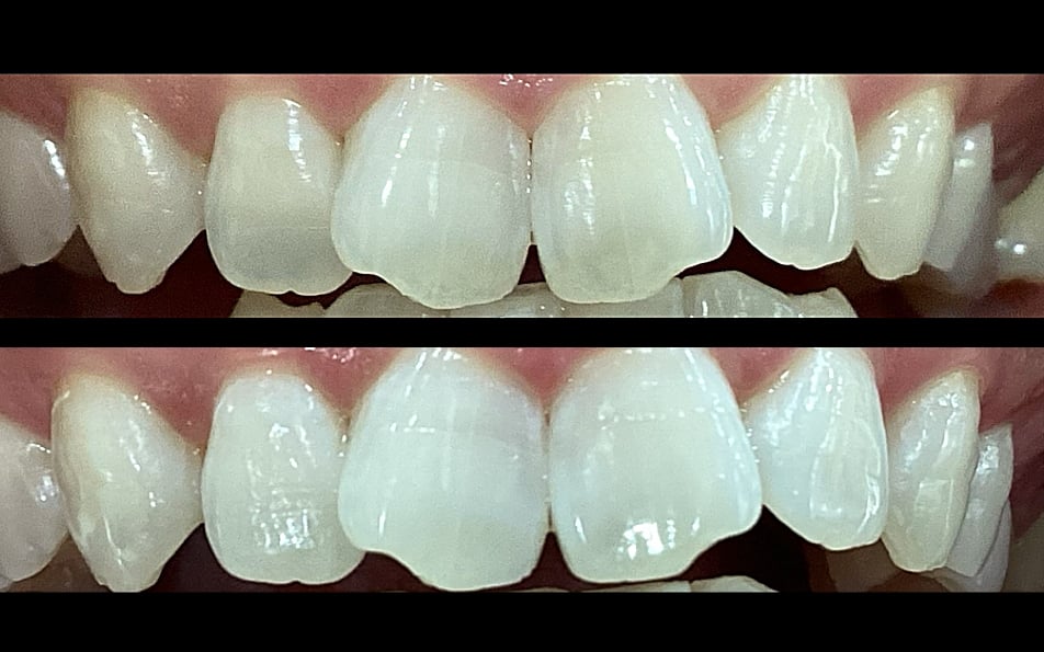
分かりやすいように並べたbefore、after

全体的にトーンアップしたのが伝わりますか?
私がお願いした歯医者さんでは2回セットで25,000+税でした!
きっと定期的にホワイトニングすれば芸能人のような輝く歯になれると思います!
でもここで問題が一つ…
🦷ホワイトニング後のスーパー知覚過敏タイム🦷
元々、知覚過敏な私…。
先生から注意はされてたものの大丈夫だろうとちょっと舐めてました…(すみません)
1回目は2回ほどピキーンと痛みが走りその後は痛みなし。
問題は2回目のホワイトニングでした。
施術後半から強烈な痛みが走りその後も定期的に痛みが襲います😖
例えるならずっとアルミホイルを噛んでるような不快感。
常にツキツキピキピキ…歯が痛い)^o^(
夜も痛くて不快だったのでロキソニンを飲んで就寝しました。
翌日には痛みもだいぶ治って一安心。
想像以上の知覚過敏タイムでした。
じゃあもう二度としたくないかと問われればそんな事はありません。
白くなった歯を鏡で見るたびニッコリハッピーなので年1位でまたホワイトニングしようかなと思っています。
注意事項
・知覚過敏になる覚悟必須!
・歯医者によって値段のバラ付き、25,000〜などのはっきりした表記がない所も多いので確認必須!
どなたかの参考になれば幸いです。
25同じカテゴリの記事
-
前の記事
ないものねだりの女達。704 2025.10.25
-
次の記事
女社会の知られざる闇。823 2025.11.04











